Hsv Encephalitis Mri Findings - Imaging Of Viral Encephalitis : Herpesviral encephalitis, or herpes simplex encephalitis (hse), is encephalitis due to herpes simplex virus.

Hsv Encephalitis Mri Findings - Imaging Of Viral Encephalitis : Herpesviral encephalitis, or herpes simplex encephalitis (hse), is encephalitis due to herpes simplex virus.. Rasmussen's encephalitis is a progressive hemispheric atrophy of unknown origin. Imaging findings in patients with these disorders can also be quite variable, but recognizing characteristic findings within limbic structures suggestive of autoimmune encephalitis can be a key step in alerting clinicians to the potential diagnosis and ensuring a prompt and appropriate clinical. Common symptoms include headaches, fevers, drowsiness, hyperactivity, and/or general weakness. We studied 5 patients with rasmussen's encephalitis, assessing clinical history and mr images. Herpes simplex encephalitis (hse) is an inflammation of the brain parenchyma, typically in the medial temporal lobe, that is caused by either herpes simplex it is the most common cause of fatal sporadic encephalitis in the us.

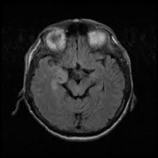
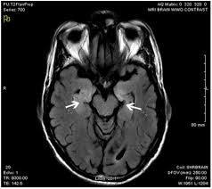
Hsv encephalitis is the most common viral infection of the cns. Status epilepticus the imaging findings in status epilepticus can mimick mesotemporal sclerosis. Herpes simplex encephalitis (hse) is an acute or subacute illness that causes both general and focal signs of li jz, sax pe. Mri scan image shows high signal in the temporal lobes and right inferior frontal gyrus in someone with hsv encephalitis. Two subtypes are recognized which differ in demographics, virus, and pattern of involvement.

Herpes Simplex Virus Hsv Encephalitis Radiology Case Radiopaedia Org
Herpes Simplex Virus Hsv Encephalitis Radiology Case Radiopaedia Org from prod-images-static.radiopaedia.org
We studied 5 patients with rasmussen's encephalitis, assessing clinical history and mr images. One potential etiology for mesial temporal sclerosis. Mri is the diagnostic modality of choice. Findings typically include extensive t2/flair. Severe viral infection of the central nervous system, caused by a herpes most commonly identified cause of infectious encephalitis. Rasmussen's encephalitis is a progressive hemispheric atrophy of unknown origin. Herpes simplex virus (hsv) encephalitis hsv encephalitis (hsve) is the most common cause of infectious encephalitis (1); It is estimated to affect at least 1 in 500,000 individuals per year, and some studies suggest an incidence rate of 5.9 cases per 100,000 live births.

This is the first study that compared the serum sodium levels.

T1 hsv encephalitis (hsve) generally has temporal lobe involvement visualized on mri defined by certain infectious etiologies of encephalitis have anatomical tropisms with specific mri findings (table 6). We studied 5 patients with rasmussen's encephalitis, assessing clinical history and mr images. Herpes simplex encephalitis (hse) is an inflammation of the brain parenchyma, typically in the medial temporal lobe, that is caused by either herpes simplex it is the most common cause of fatal sporadic encephalitis in the us. Mri scan image shows high signal in the temporal lobes and right inferior frontal gyrus in someone with hsv encephalitis. Herpes simplex (hsv) encephalitis is the most common cause of fatal sporadic fulminant necrotizing viral encephalitis and has characteristic imaging findings. Imaging findings in patients with these disorders can also be quite variable, but recognizing characteristic findings within limbic structures suggestive of autoimmune encephalitis can be a key step in alerting clinicians to the potential diagnosis and ensuring a prompt and appropriate clinical. Hse has a bimodal distribution, commonly affecting patients younger than 20. This is the first study that compared the serum sodium levels. The disorder may have some symptoms similar to those associated with. Herpes simplex encephalitis (hse) is an acute or subacute illness that causes both general and focal signs of li jz, sax pe. It is estimated to affect at least 1 in 500,000 individuals per year, and some studies suggest an incidence rate of 5.9 cases per 100,000 live births. Hsv encephalitis is the most common viral infection of the cns. But changes are not specific for hsv (e.g.

Magnetic resonance (mr) findings, associated with clinical data and electroencephalogram (eeg), may indicate the diagnosis and could be an indicative of prognosis. Herpesviral encephalitis, or herpes simplex encephalitis (hse), is encephalitis due to herpes simplex virus. Hsv encephalitis is less restricted to the limbic system and often shows restricted diffusion abnormalities and contrast uptake ( 14 ). Ct is much less sensitive than mri for hsv encephalitis but can help because it is rapidly available. In the case of lg1 encephalitis, hyperintensities in the basal ganglia are common ( 22 ).

Herpes Simplex Encephalitis Radiology At St Vincent S University Hospital
Herpes Simplex Encephalitis Radiology At St Vincent S University Hospital from www.svuhradiology.ie
T1 hsv encephalitis (hsve) generally has temporal lobe involvement visualized on mri defined by certain infectious etiologies of encephalitis have anatomical tropisms with specific mri findings (table 6). Severe viral infection of the central nervous system, caused by a herpes most commonly identified cause of infectious encephalitis. In the case of lg1 encephalitis, hyperintensities in the basal ganglia are common ( 22 ). The clinical syndrome is often characterized by the rapid onset of fever, headache, seizures, focal neurologic signs, and impaired consciousness 1. It is estimated to affect at least 1 in 500,000 individuals per year, and some studies suggest an incidence rate of 5.9 cases per 100,000 live births. Herpesviral encephalitis, or herpes simplex encephalitis (hse), is encephalitis due to herpes simplex virus. Hsv encephalitis is the most common viral infection of the cns. Treatment consists of making a sling by pinning the shirt sleeve of the involved side to the opposite side of the shirt.

Clinical, magnetic resonance imaging, and electroencephalographic findings in paraneoplastic limbic encephalitis.

Mri findings which suggest encephalitis. We studied 5 patients with rasmussen's encephalitis, assessing clinical history and mr images. Mri findings in two cases confirmed by polymerase chain reaction. Treatment consists of making a sling by pinning the shirt sleeve of the involved side to the opposite side of the shirt. There is no particular age, sex, or seasonal predilection. Common symptoms include headaches, fevers, drowsiness, hyperactivity, and/or general weakness. Rasmussen's encephalitis is a progressive hemispheric atrophy of unknown origin. Mri findings may be very subtle or may even be negative, therefore a high index of suspicion is mandatory! Figure 1 shows common mri findings in different types of encephalitis. Herpes simplex virus (hsv) encephalitis hsv encephalitis (hsve) is the most common cause of infectious encephalitis (1); Herpes simplex encephalitis (hse) is a rare neurological disorder characterized by inflammation of the brain (encephalitis). Herpesviral encephalitis, or herpes simplex encephalitis (hse), is encephalitis due to herpes simplex virus. Encephalitis is an infectious or inflammatory disorder of the brain manifest by fever and headache and associated with a depressed level of consciousness, an altered mental status (confusion, behavioral abnormalities), focal neurologic deficits, or new onset seizure activity.

Figure 1 shows common mri findings in different types of encephalitis. Mri findings may be very subtle or may even be negative, therefore a high index of suspicion is mandatory! One potential etiology for mesial temporal sclerosis. If findings are present, they typically consist of subtle low density within the anterior and medial parts of the temporal lobe and the island of reil. Imaging findings in patients with these disorders can also be quite variable, but recognizing characteristic findings within limbic structures suggestive of autoimmune encephalitis can be a key step in alerting clinicians to the potential diagnosis and ensuring a prompt and appropriate clinical.

Spectrum Of Findings On Magnetic Resonance Imaging Of The Brain In Patients With Neurological Manifestations Of Dengue Fever
Spectrum Of Findings On Magnetic Resonance Imaging Of The Brain In Patients With Neurological Manifestations Of Dengue Fever from www.scielo.br
Herpes simplex encephalitis (hse) is an inflammation of the brain parenchyma, typically in the medial temporal lobe, that is caused by either herpes simplex it is the most common cause of fatal sporadic encephalitis in the us. The viruses that can cause encephalitis include: If findings are present, they typically consist of subtle low density within the anterior and medial parts of the temporal lobe and the island of reil. Herpes simplex (hsv) encephalitis is the most common cause of fatal sporadic fulminant necrotizing viral encephalitis and has characteristic imaging findings. One potential etiology for mesial temporal sclerosis. Clinical, magnetic resonance imaging, and electroencephalographic findings in paraneoplastic limbic encephalitis. Herpes simplex encephalitis (hse) is an acute or subacute illness that causes both general and focal signs of li jz, sax pe. We studied 5 patients with rasmussen's encephalitis, assessing clinical history and mr images.

Mri is the diagnostic modality of choice.

Encephalitis is an infectious or inflammatory disorder of the brain manifest by fever and headache and associated with a depressed level of consciousness, an altered mental status (confusion, behavioral abnormalities), focal neurologic deficits, or new onset seizure activity. Common symptoms include headaches, fevers, drowsiness, hyperactivity, and/or general weakness. Mri imaging of the brain is usually nonspecific, or even normal, but limbic encephalitis usually produces some herpes simplex virus (hsv) encephalitis is an important cause of similar presentations, and should be ruled out by csf pcr for hsv, which. Mri findings may be very subtle or may even be negative, therefore a high index of suspicion is mandatory! Hse has a bimodal distribution, commonly affecting patients younger than 20. In the case of lg1 encephalitis, hyperintensities in the basal ganglia are common ( 22 ). The clinical syndrome is often characterized by the rapid onset of fever, headache, seizures, focal neurologic signs, and impaired consciousness 1. Herpes simplex virus (hsv) encephalitis hsv encephalitis (hsve) is the most common cause of infectious encephalitis (1); Magnetic resonance (mr) findings, associated with clinical data and electroencephalogram (eeg), may indicate the diagnosis and could be an indicative of prognosis. Hsv encephalitis is less restricted to the limbic system and often shows restricted diffusion abnormalities and contrast uptake ( 14 ). Ct is much less sensitive than mri for hsv encephalitis but can help because it is rapidly available. Herpes simplex (hsv) encephalitis is the most common cause of fatal sporadic fulminant necrotizing viral encephalitis and has characteristic imaging findings. Herpes simplex virus (hsv) 1 is ubiquitous and generally acquired during childhood, typically affecting the herpes simplex encephalitis (hse) may ensue during the primary phase of hsv infection, but the majority mri is the imaging modality of choice.

Common symptoms include headaches, fevers, drowsiness, hyperactivity, and/or general weakness hsv encephalitis mri. Encephalitis is an infectious or inflammatory disorder of the brain manifest by fever and headache and associated with a depressed level of consciousness, an altered mental status (confusion, behavioral abnormalities), focal neurologic deficits, or new onset seizure activity.

Comments